A Prefeitura de João Pessoa está acompanhando a investigação de um possível caso de mpox (varíola dos macacos) envolvendo um turista do Rio Grande do Norte. O paciente apresentou sintomas compatíveis com a doença e passou por exames para confirmação. A ação reforça a importância da vigilância e prevenção diante da circulação de doenças infecciosas na capital paraibana, especialmente em períodos de alta movimentação turística.
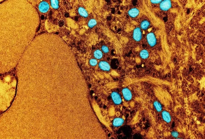
O paciente, oriundo do Rio Grande do Norte, teve sintomas como febre, dor no corpo e lesões na pele, típicos da mpox. Após apresentar os sinais, foi atendido em João Pessoa, onde as autoridades de saúde local iniciaram a investigação epidemiológica. A mpox é uma doença causada por um vírus semelhante ao da varíola, transmitida geralmente por contato próximo com pessoas infectadas ou materiais contaminados. Embora não seja altamente contagiosa, demanda cuidados para evitar a disseminação.
Em resposta ao caso suspeito, a Secretaria Municipal de Saúde de João Pessoa reforçou ações de vigilância e orientações para profissionais de saúde e a população. Foram intensificadas as atividades de monitoramento de pacientes com sintomas suspeitos e campanhas informativas para prevenir o contágio. A prefeitura destaca a importância de buscar atendimento rápido em caso de sinais compatíveis e seguir as recomendações das autoridades sanitárias.
O resultado dos exames que confirmarão ou descartarão a mpox no turista ainda não foi divulgado. Enquanto isso, as autoridades de João Pessoa seguem atentas ao quadro epidemiológico, prontas para agir de acordo com as orientações nacionais e internacionais de saúde. A cidade mantém protocolos para controle de doenças transmissíveis, garantindo segurança para moradores e visitantes neste momento.

